)
Dr. Louise Explains Periodontal Treatment At 3Dental
What Is Periodontal Treatment?
)
Dr. Louise Explains Periodontal Treatment At 3Dental
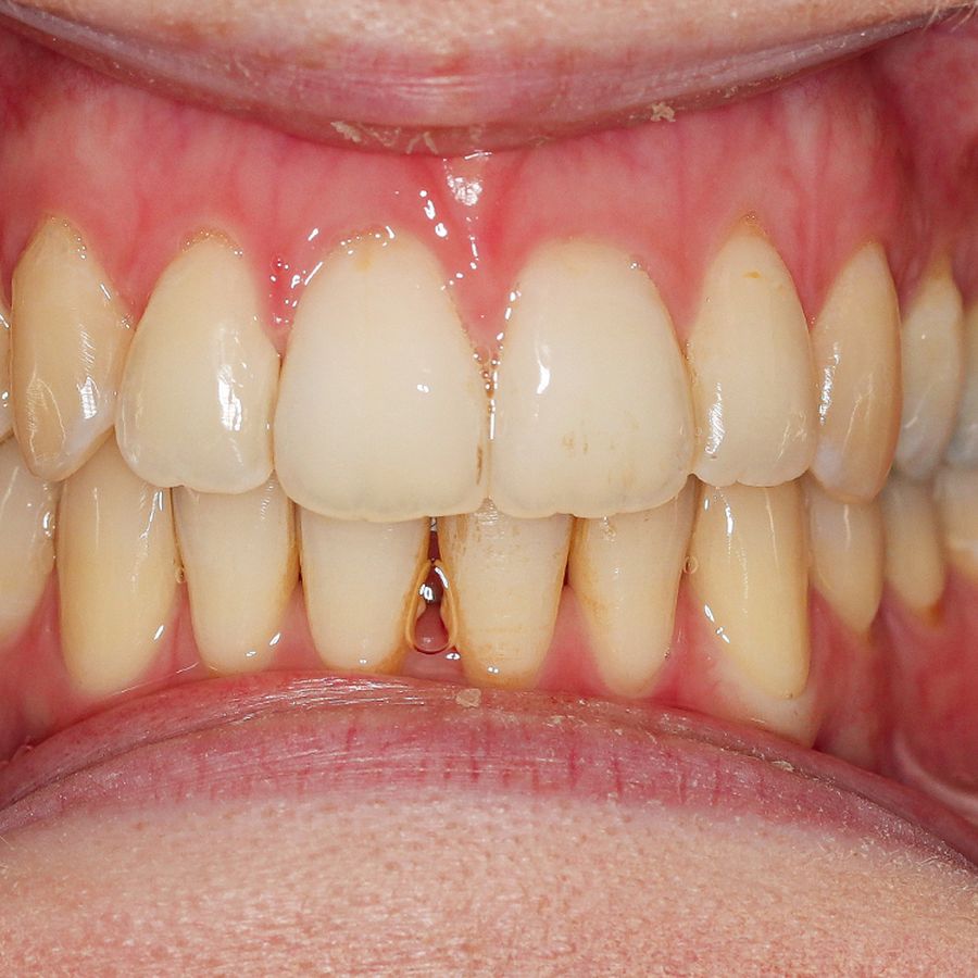
Periodontal treatment also referred to as "deep teeth cleaning" or "root planing", is a professional dental procedure that treats plaque and tartar build-up below the gumline.
A dental hygienist or dentist usually performs the procedure, though complex cases may require referral to a periodontist who specialises in gum health.
Unlike a routine scale and polish (which cleans only the visible surfaces of your teeth), a periodontal treatment goes deeper to remove harmful bacteria from teeth's roots.
Patients showing early signs of gum disease particularly benefit from this service, as it helps preserve bone structure, prevent tooth loss, and restore healthy gums.
)
Dr. Alba Urdaneta Explains Periodontal Treatment At 3Dental
When Is Periodontal Treatment (Deep Cleaning) Needed?
)
Dr. Alba Urdaneta Explains Periodontal Treatment At 3Dental
Periodontal treatment is recommended when tartar and bacteria build up below the gum line, causing gum inflammation, infection, and early signs of bone loss.
The procedure is more advanced than routine cleaning and is aimed at stopping gum disease before it causes irreversible damage.
You may need a deep cleaning if you experience:
- Bleeding gums when brushing or flossing
- Persistent bad breath
- Swollen, red, or tender gums
- Gum recession or teeth appearing "longer"
- Loose teeth due to gum damage
- Visible tartar buildup below the gum line
Early detection and treatment are key, as delaying deep cleaning can lead to bone loss and eventually tooth loss.
)
Periodontal Treatment Cost
)
A periodontal consultation with a periodontist costs €150.
The cost for treatments with the periodontist are as follows:
- Non-surgical periodontal treatment: €200-€350
- Surgical periodontal treatment: €350-€1,000
The hygienist (who you will see at your regular hygiene appointment) will be able to let you know how many appointments are needed, how long they will be, and the cost, before you book.
If you qualify for PRSI benefits, you will have a PRSI contribution of €42, therefore you will only be required to pay the outstanding balance.
Also, check out our pricing page for a detailed price breakdown of all our treatments.
)
Appointments Available In Our Galway Clinic
)
We only offer this treatment in our Galway clinic.
We also welcome referrals from dentists for this treatment.
Get in touch today!
Benefits
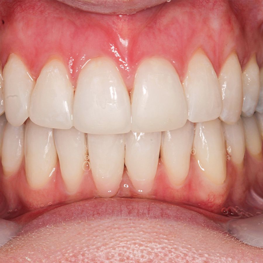
Removes harmful bacteria from below the gum line.
Stops further bone loss around the teeth.
Reduces gum bleeding and inflammation for a healthier appearance.
Improves breath by eliminating bacteria that cause odour.
Promotes gum reattachment for a firmer, more stable bite.
Reduces tooth sensitivity by smoothing root surfaces.
Helps avoid more invasive, costly treatments further down the line.
Restores overall oral health, making daily care more effective.
Deep Teeth Cleaning Procedure
- Initial Consultation
- Scaling
- Root Planing
- Local Anaesthesia
- Number Of Visits
- Aftercare And Recovery
)
Initial Consultation
As part of your regular hygiene appointment, your hygienist will advise you if periodontal treatment is right for you.
Your hygienist will then walk you through what's involved, the cost and the number of appointments.
They may also take x-rays of your mouth to help assess your overall dental health.
)
)
Scaling
Scaling involves removing hardened plaque (tartar) from the teeth and root surfaces, including those areas hidden beneath the gums.
Special ultrasonic instruments vibrate to loosen tartar, while water is used to flush away debris.
)
Root Planing
Once scaling is complete, root planing smooths the tooth roots to prevent bacteria from reattaching and causing a buildup.
This also allows gums to heal and reattach more firmly to the teeth.
Hand instruments, like curettes, are used to carry out the root planing.
)
Local Anaesthesia
To ensure comfort, the treated area is numbed with a local anaesthetic, typically administered using an injection.
This makes the procedure virtually pain-free, even when cleaning deeply beneath the gums.
)
Number Of Visits
The mouth is often divided into quadrants for treatment.
Mild cases may be completed in one visit, while more advanced gum disease may require two to four sessions, each treating a different quadrant (area).
)
Aftercare And Recovery
After a deep cleaning, your gums may feel tender for a day or two.
Avoid alcohol, smoking, hot foods, and strenuous exercise for at least 24 hours to reduce the risk of bleeding.
Stick to soft foods if your gums feel sensitive.
Brush twice daily at a 45-degree angle into the gum line and clean between your teeth using floss or interdental brushes.
Your dentist or hygienist may recommend follow-up visits to monitor the healing progress and keep your gums healthy.
)
)
)
)
Deep Teeth Cleaning vs Regular Teeth Cleaning
While both deep cleaning and regular teeth cleaning improve oral health, the two procedures serve very different purposes.
Understanding these differences can help you know when each is appropriate and what to expect from your appointment.
| Regular cleaning (Scale and Polish) | Deep Cleaning (Periodontal Treatment) |
Area Cleaned | Above the gum line | Above and below the gum line |
Purpose | Maintains general oral hygiene | Treats periodontal disease and prevents bone loss |
Length of Procedure | 20-30 minutes | 45 minutes - 2 hours |
Discomfort Level | Minimal discomfort, with no need for anaesthesia | Numbed for the patient's comfort |
Frequency | Every 6 months | As needed, based on gum health |
Effect on Gums | Removes surface plaque and stains | Promotes gum reattachment and healing |
Best for | General dental hygiene | Gum disease or advanced tartar buildup |
Get In Touch To Book Your Appointment Today
View Pricing OptionsCommonly Asked Questions
Does deep cleaning hurt?
Deep cleaning is performed under local anaesthesia, so you shouldn’t feel pain during the procedure.
You may experience slight tenderness or sensitivity afterwards, which typically resolves in a day or two.
Over-the-counter pain relief can help if needed, but most patients recover quickly.
Can teeth fall out after deep cleaning?
No, teeth don’t fall out because of deep cleaning.
Instead, the treatment helps prevent tooth loss.
If teeth feel slightly looser afterwards, it’s usually due to removing tartar that was artificially “holding” them in place.
As gums heal and tighten, teeth generally feel more stable.
How long does a deep cleaning take?
Depending on the severity of gum disease and the number of quadrants treated, a deep cleaning can take anywhere from 45 minutes to 2 hours.
Advanced cases may require multiple visits to complete treatment effectively.
Is deep cleaning really necessary?
Yes, deep cleaning is essential to stop gum disease from progressing.
Without it, tartar and bacteria will continue to damage gum tissue and bone, potentially leading to tooth loss.
If you suspect you have gum disease, you should book this treatment as soon as possible.
Will gums reattach after deep cleaning?
In many cases, gums will reattach to the teeth after deep cleaning.
The process removes bacteria and smooths the roots, allowing gums to heal and firmly attach themselves to the teeth.
This reattachment helps reduce pocket depth and stabilises teeth.
How soon can I brush my teeth after deep teeth cleaning?
You can brush as early as after dinner! However, since your gums will be tender and sensitive, you should be extra gentle and careful and use a soft bristle toothbrush to clean your teeth twice per day.
Flossing is also recommended at least once per day. The goal here is to keep your teeth and gums as clean as possible to promote healing and reduce gum inflammation.
What's the difference between deep teeth cleaning and regular teeth cleaning?
The objective of both treatments is to remove plaque and tartar from above the gumline. However, the difference between the two is as follows:
Regular teeth cleaning:
- The objective is to clean the teeth
Deep teeth clean:
- The main objective is to clean the teeth and halt the progress of gingivitis and gum infection.
How often should deep cleaning be done?
Most patients only need a deep cleaning once if they maintain good oral hygiene afterwards.
However, those with ongoing gum health issues may require periodic maintenance cleanings every 3–4 months to prevent recurrences.
Will I experience discomfort or pain during or after periodontal treatment?
No. 3Dental is excellent at managing pain and our patients rarely feel any pain.
Any discomfort is managed with local anaesthetic during the procedure and over the counter painkillers after the procedure is complete.
Is periodontal treatment available near me?
Yes! We provide periodontal treatment in each of our clinics - Dublin (Red Cow), Dublin 2 (Aungier Street), Limerick and Galway.
Book your free consultation today! We look forward to welcoming you in person soon :)
)
)
)
)